Retreatment of a Crowned Tooth with Post & Core Build-up and Periapical Lesion
Meena Arora (Gadha, Jabalpur)
Female
Dr. Samay P. Chavan
Retreatment of a Crowned Tooth with Post & Core Build-up and Periapical Lesion
Case Background
Suspendisse lectus nisi, laoreet id venenatis eget, vulputate sit amet est. Etiam enim nunc, interdum dictum neque sed, luctus condimentum velit. Suspendisse potenti. Integer eleifend orci at velit rhoncus blandit. Praesent consequat odio at sapien molestie, vitae egestas ex cursus Aliquam id libero porta, ultricies lacus ac, malesuada tortor. Proin scelerisque odio eget aliquam mollis. Pellentesque nec feugiat dolor. Vestibulum fermentum tellus .
Clinical Findings
Examination revealed an intraoral sinus tract adjacent to a previously root canal-treated tooth. The tract was non-tender but expressed a small amount of pus on pressure. The existing full-coverage crown appeared intact externally, masking the underlying issue.
Diagnosis
Radiographic Analysis
Radiographs showed:
These findings confirmed failure of the earlier root canal, likely due to persistent infection or incomplete cleaning of the root canal system.
Treatment Protocol
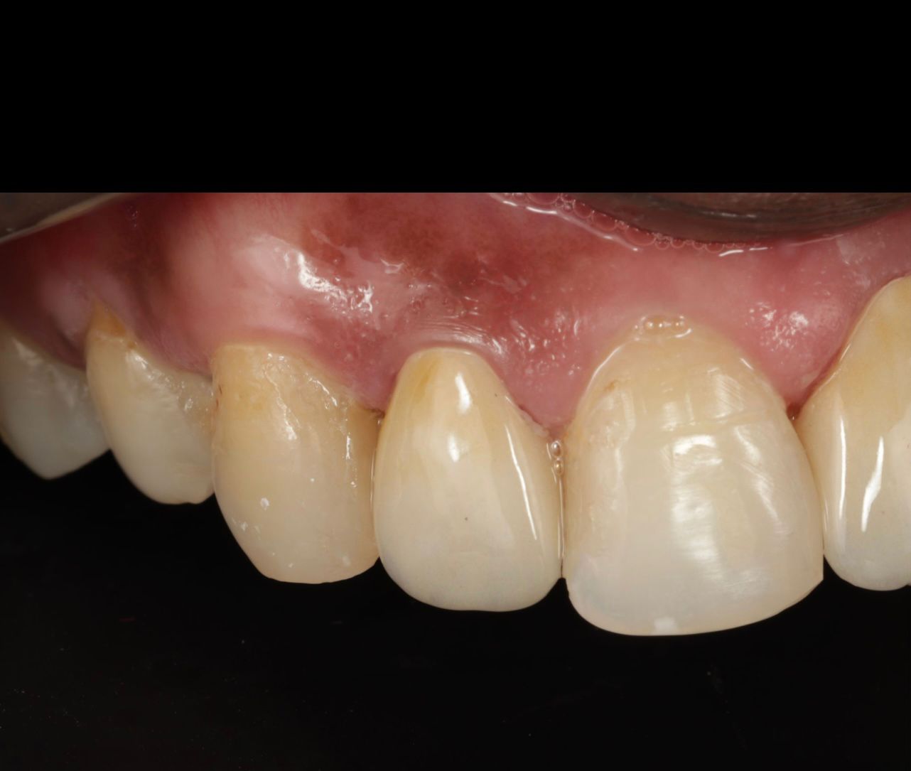
Clinical Outcome
Key Takeaways
Conclusion
This case demonstrates how a previously treated crowned tooth with chronic infection can be successfully saved through advanced retreatment, disinfection, and restorative protocols. The tooth was preserved in function and beauty — a testament to Apollo Hospitals Jabalpur’s excellence in endodontic care under Dr. Samay P. Chavan.
